Cosmetic dentistry
Implant dentistry
Conservative smile makeover — No preparation veneers
Four no-preparation veneers were placed over two visits to close the gaps, create proper proportions (the teeth looked long and thin) and provide translucency in the tips of the teeth.

Smile makeover for spaced teeth with no preparation veneers
Eight no-preparation veneers meant no injections, drilling nor tooth removal.

10 veneers for a gummy smile
This case was planned using Digital Smile Design. This is when the prosthodontist creates a plan to transfer information to you, the patient, so you can gain an insight and give input into how you will look, both to the laboratory technician to make the veneers and to the periodontist who shapes the gum tissue to make it symmetrical.

Smile makeover for worn teeth with porcelain veneers and tooth whitening
Ten conservative veneers were placed to maintain the remaining tooth material. Periodontal tissue shaping was performed on the canine teeth after tooth whitening.

Smile design for the adjacent case
This shows how the gum shaping and 10 porcelain veneers were planned for the previous case. Preplanning allows for you to have input and visualize the final result.

Smile makeover for uneven gum levels and to broaden the smile
Ten porcelain veneers and crowns were placed after teeth whitening and symmetrical gum reshaping.

Gummy smile. A single implant to replace a missing central incisor and eight porcelain restorations
The patient is missing an upper left central incisor and had a poorly fitted bridge. It was replaced with a single implant, and the gums were periodontally reshaped to remove the gummy smile. Eight porcelain veneers and crowns enhanced the unaesthetic smile.

Conservative smile makeover
Teeth whitening, cosmetic contouring of the canines (eye teeth) and four porcelain crowns allowed for minimal intervention but a vast improvement in appearance.

Full-mouth reconstruction
Tooth wear, poor aesthetics and decay necessitated the full-mouth restoration of this patient.

Full-mouth reconstruction
Due to wear and decay, the patient had lost most of the posterior teeth, which were replaced by implants, and cracked the anterior teeth, which were saved using porcelain crowns.
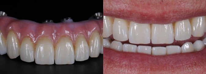
Full-mouth rehabilitation
The patient will leave the practice having had four to six implants and a screwed-in bridge placed in one session.

Implants for the orthodontic patient
Two implants were placed for this patient’s missing lateral incisors, along with several veneers, after treatment with the orthodontist and periodontist.

Single tooth replaced by an implant
This single-tooth implant shows how the implant post is not actually visible in your mouth. You will only see the crown.

Single anterior implant
The gold standard of treatment for a missing space in a healthy person is an implant. Here, the patient’s left front tooth was replaced without touching the adjacent teeth, as a bridge would.

Denture retained by implants
Four implants were used to hold the upper denture in place, preventing loose or shifting dentures.

All-on-4 teeth in an hour — Part 1
Teeth failing from gum disease and decay can be removed and four to six implants can be placed so the patient can go home with fixed teeth the same day.

All-on-4 teeth in an hour — Part 2
These are full-arch bridges screwed onto the four implants in the jaw. They can give many years of use and increased quality of life.

Dentures retained by implants — Bar
For extra hold, the implants can be joined by a metal bar with the denture clipping on top.
